Rare diseases: when your case is one among thousands

The South region of the DR has been the object of studies because of the concentration of patients; they are training health personnel in Genetic Counseling
SANTO DOMINGO. When the patient went to the neurologist, he asked in what town of the Dominican Republic he was born in. The doctor wanted to discard that his diagnosis might be influenced by a genetic disease of those detected in the country, some of which are cases concentrated in the South region.
The rare diseases are those that have a frequency of one for each 2000 inhabitants (the most accepted criteria). It is calculated that there are between 5000 and 7000 illnesses in the world and 80% are caused by genetic defects, explains pediatrician Ceila Perez Ferran, the deputy director of the Dr. Hugo Mendoza National Center of Research in Maternal - Infantile Health.
Through personal reports and scientific publications by well-known Dominican doctors, such as Doctor Mendoza and Teofilo Gautier, there is evidence of the existence of rare diseases in the country. Given the frequency by inhabitants, there could be some 5000 Dominicans affected by some of them.
The absence of a registry or technologies for diagnosing these illnesses complicates the calculation of how many there are, but Perez Ferran mentions congenital hypothyroidism, a disease that gives urine the smell of maple syrup, different types of muscular dystrophy and dystonias, cystic fibrosis and imperfect osteogenesis or brittle bone disease, also called Lobstein syndrome.
The Dominican Republic is an international reference in research on rare diseases and there even exists the Dominican Association of Lysosome Diseases and other Rare Diseases.
Alkaptonuria, for example, a hereditary disease that causes the urine to turn dark brown or black, permitted the English Doctor Archibald Garrod, to describe the chapter of Medical Genetics called Innate Errors of Metabolism. "He described of families in the South of our country, where this disease has a high prevalence. Its world incidence is calculated in one case in 1 million of live births. The Dominican Republic and the Slovak Republic are the 2 countries with the greatest incidence," says Doctor Perez Ferran.
The American Journal of Genetics, published in 1997 the Odonto-trico-ungual-digito-palmar Syndrome, identified by Mendoza, characterized principally by abnormalities of the hair, teeth, fingernails and skin.
There are the works by Gautier on the description of an enzyme (S Alfa Reductasa), whose deficiency causes Pseudo-- Hermaphroditism, which consists of an abnormality called a Disorder of Sexual Differentiation (DSD). "They are born with ambiguous genitalia, someone who doesn't know this believes that he might be a girl, he is raised as a girl, but later, when he reaches puberty he is going to become masculine," explains the Pediatric Endocrinologist Dr. Elbi Morla, a specialist and researcher of this affliction.
He estimates that in the Doctor Robert Reid Cabral Children's Hospital, where he provides services, they attend between 5 and 10 patients a year with this condition.
The community of Las Salinas, in Barahona, with 4703 inhabitants in the 2010 Census, has been an area of study for several decades on Pseudo-- hermaphroditism, because it has an important concentration of cases. The people there are very quiet with respect to the issue, since it tends to stigmatize those affected. They are even silent when the families know that there is a genetic tendency of suffering from this. Doctor Esperanza Cuevas recalls that she assisted 2 births in which when the mothers realized that the creatures had been born with the affliction, they were not bothered.
Why in the South?
Given the rare diseases detected in the South, there comes the question as to why. "The South region has been, and is still the poorest region, where the inhabitants took a long time to migrate to other places," says Doctor Morla. "This led to matrimonial unions between relatives, and when they got together or married relatives, genes that are altered are going to manifest themselves in the children."
He stresses that if a person joins another carrier, some of their children are going to carry the genetic alteration.
Genetic counseling to the rescue; it begins in the South
Sister Juana Feliz, Damaris Feliz, and Ana Francisca Bautista, nurses in the South, together with Doctor Cuevas, are in the last stages of an online course that is training them in genetic counseling at the nursing level. They meet in the house of Sister Juana, and by means of the computer they receive lessons from Monica Alvarado, a specialist from Kaiser Permanente Southern California, in the United States.
Four years ago, they offered themselves as volunteers to collaborate with the team of researchers from the Diagnostic and Advanced Medicine Center (Cedimat) which, under the auspices of foreign universities, has spent more than a decade studying communities in the South where the majority of the cases of another rare disease called Pantothenate Kinase-Associated Neurodegeneration or PKAN, a hereditary dystonia.
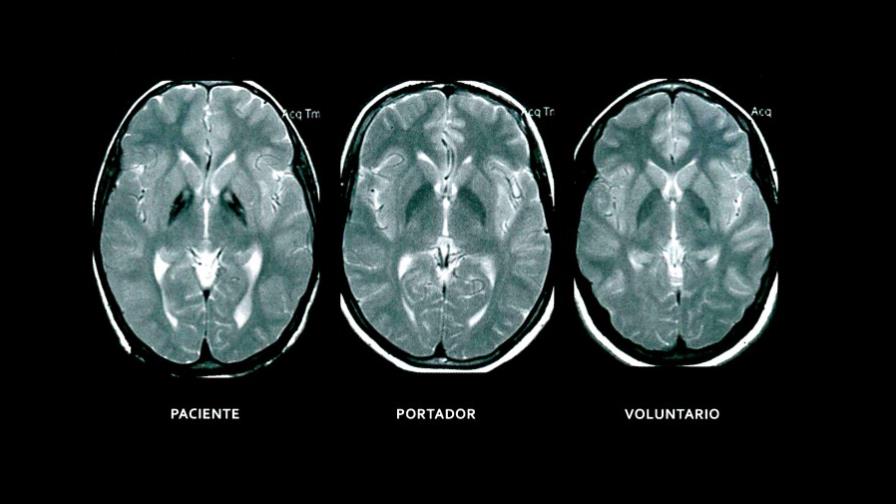
This pathology forms part of some neurodegenerative cerebral conditions, in which the deposit of iron in the brain is severe. It is transmitted by the genes from parents who are carriers and begins to present in early childhood - 3 ½ to 6 years-and sometimes as late as 10 to 14 years. When the patients undergo a magnetic resonance a sign called "Eye of the Tiger"is discovered, a dark area that the doctors say appears to be the face of that animal.
The specialists have the belief that Eastern European immigrants brought the gene to the South, and it was spread by marriage between persons with common ancestors who were bearers of the mutation and as well as the low migration of the people to other areas.
After Luis Feliz Urbaez, 66, tells Diario Libre the name of his wife, Mayra Mendez Urbaez, 52, he asked: did something shock you? He referred to the fact that both have the same maternal last name, but they do not know at what point their genealogical trees come together. Tests were made and it was found that each one has 50% of the genetic mutation that causes a child to have PKAN
Of the couple's 3 children, two suffer from the disease: the eldest, Richard and the youngest, Luis. At 10 years of age they began to present symptoms, with the first being a difficulty in walking with their feet on the floor. Their pediatrician attributed this to the environment of the house. They had to take them out of school in the 8th grade.
As part of the Cedimat investigations, they were given treatments and with the most recent, the father says that they have improved, "at a snail's pace."
Richard, who is now 29, wanted to be an engineer, and Luis, 25, wanted to study computers. Although the medicines have helped them, they spend their days being attended by their mother, emitting sounds and involuntary movements, with difficulty to enter their tongues, and with painful episodes. Maintaining them causes an expense for the family, which lives on the salary of the father who is a retired teacher, and who tells reporters that he has saved invoices that vary between RD$15,000 and RD$18,000. "We are fighting for the control of their lives," he says.
The two brothers are followed by the nurses that are taking the course of Genetic Counseling, which prepares them to interpret genetic exams, and explain the results to the patients in order for them to make conscientious decisions. The idea is that they will work with families in the South identified as carriers of the mutation in order to reduce the births with this condition. "If they are related, they should not get married," says Sister Juana.
The disease still does not have any cure. Those who show at the earliest age die young, and those that develop symptoms later can live as long as 40 years. At the world level, the Dominican Republic is taken as a reference, since it is the country with the most cases, even having reported Dominicans carrying the gene in Spain, the United States and Mexico. In all of the national territory they have found more than 44 persons with PKAN.
In just a few l towns of the South they have identified 34 patients, with 3 of them dying last year. But in 2010 the researchers found out that because of under - registration there were probably 70 persons with PKAN, when normal occurrence is one in 1 million persons. In a territory with 15,000 inhabitants, they say that 50% of the population are carriers of the gene.
In order to determine if a person possesses or not the mutation, there is a genetic test that is not done in the country. It costs US$45, and is carried out through Cedimat, under the auspices of the Juan Manuel Taveras Guzmán Foundation, which assumes the cost of the evaluation overseas. It is also possible to detect this with a CAT scan.
"If you have relatives that have the disease, the correct thing to do is for the children and family to carry out the test in order to know if they carry the mutation, and in this way they are able to stop the vertical transmission," explains the neurologist Pedro Roa.
If the couple already has children and they test positive, they have to work on the prevention. "We know there are things that can be done to stop the disease a little bit. For example if they are able to keep the child from losing an important amount of weight, the disease can stabilize and take longer to trigger more symptoms," says Roa.
Are there medical advances?
Doctor Morla sites genetic therapy as an advance. This experimental technique uses the genes to treat or prevent diseases. "With molecular genetics they can carry out a study on you which is called genome, and they can tell you which altered genes you have," he explains. "There are some rare diseases that are being treated like this.
The Office of the First Lady is working on a Project of Neonatal Screening, with the support of the Ministry of Public Health, in order to carry out an early biochemical diagnosis of diseases which present themselves in the neonatal period.
The Department of High Cost Diseases and Protected Medications of the Ministry supports patients that have another disease that is rare, that of Gaucher, which causes the accumulation of fatty deposits on certain organs and in the bones with RD$8 million a year. Five persons are benefiting at the present time from this program. But other interventions of prevention and public policy are needed.
In the case of the research on PKAN, they are at the stage of experimental procedures. There exist new treatments that have provided some benefits, within which Vitamin B5 appears to be that which has the greatest effects on the control of the symptoms.
In addition it is expected that in the middle of this year the genetic tests will be available in the country.
The researchers are concentrating on prolonging the life of the patients with PKAN, in order that they can take advantage of the experimental treatments. Likewise, they use Botox so that the muscles relax and they acquire mobility. Those that can, pay US $500 for each bottle.
The goal is that in 5 years a cure will exist, and in 20 years there will be no more cases of PKAN in the country.
SANTO DOMINGO. When the patient went to the neurologist, he asked in what town of the Dominican Republic he was born in. The doctor wanted to discard that his diagnosis might be influenced by a genetic disease of those detected in the country, some of which are cases concentrated in the South region.
The rare diseases are those that have a frequency of one for each 2000 inhabitants (the most accepted criteria). It is calculated that there are between 5000 and 7000 illnesses in the world and 80% are caused by genetic defects, explains pediatrician Ceila Perez Ferran, the deputy director of the Dr. Hugo Mendoza National Center of Research in Maternal - Infantile Health.
Through personal reports and scientific publications by well-known Dominican doctors, such as Doctor Mendoza and Teofilo Gautier, there is evidence of the existence of rare diseases in the country. Given the frequency by inhabitants, there could be some 5000 Dominicans affected by some of them.
The absence of a registry or technologies for diagnosing these illnesses complicates the calculation of how many there are, but Perez Ferran mentions congenital hypothyroidism, a disease that gives urine the smell of maple syrup, different types of muscular dystrophy and dystonias, cystic fibrosis and imperfect osteogenesis or brittle bone disease, also called Lobstein syndrome.
The Dominican Republic is an international reference in research on rare diseases and there even exists the Dominican Association of Lysosome Diseases and other Rare Diseases.
Alkaptonuria, for example, a hereditary disease that causes the urine to turn dark brown or black, permitted the English Doctor Archibald Garrod, to describe the chapter of Medical Genetics called Innate Errors of Metabolism. "He described of families in the South of our country, where this disease has a high prevalence. Its world incidence is calculated in one case in 1 million of live births. The Dominican Republic and the Slovak Republic are the 2 countries with the greatest incidence," says Doctor Perez Ferran.
The American Journal of Genetics, published in 1997 the Odonto-trico-ungual-digito-palmar Syndrome, identified by Mendoza, characterized principally by abnormalities of the hair, teeth, fingernails and skin.
There are the works by Gautier on the description of an enzyme (S Alfa Reductasa), whose deficiency causes Pseudo-- Hermaphroditism, which consists of an abnormality called a Disorder of Sexual Differentiation (DSD). "They are born with ambiguous genitalia, someone who doesn't know this believes that he might be a girl, he is raised as a girl, but later, when he reaches puberty he is going to become masculine," explains the Pediatric Endocrinologist Dr. Elbi Morla, a specialist and researcher of this affliction.
He estimates that in the Doctor Robert Reid Cabral Children's Hospital, where he provides services, they attend between 5 and 10 patients a year with this condition.
The community of Las Salinas, in Barahona, with 4703 inhabitants in the 2010 Census, has been an area of study for several decades on Pseudo-- hermaphroditism, because it has an important concentration of cases. The people there are very quiet with respect to the issue, since it tends to stigmatize those affected. They are even silent when the families know that there is a genetic tendency of suffering from this. Doctor Esperanza Cuevas recalls that she assisted 2 births in which when the mothers realized that the creatures had been born with the affliction, they were not bothered.
Why in the South?
Given the rare diseases detected in the South, there comes the question as to why. "The South region has been, and is still the poorest region, where the inhabitants took a long time to migrate to other places," says Doctor Morla. "This led to matrimonial unions between relatives, and when they got together or married relatives, genes that are altered are going to manifest themselves in the children."
He stresses that if a person joins another carrier, some of their children are going to carry the genetic alteration.
Genetic counseling to the rescue; it begins in the South
Sister Juana Feliz, Damaris Feliz, and Ana Francisca Bautista, nurses in the South, together with Doctor Cuevas, are in the last stages of an online course that is training them in genetic counseling at the nursing level. They meet in the house of Sister Juana, and by means of the computer they receive lessons from Monica Alvarado, a specialist from Kaiser Permanente Southern California, in the United States.
Four years ago, they offered themselves as volunteers to collaborate with the team of researchers from the Diagnostic and Advanced Medicine Center (Cedimat) which, under the auspices of foreign universities, has spent more than a decade studying communities in the South where the majority of the cases of another rare disease called Pantothenate Kinase-Associated Neurodegeneration or PKAN, a hereditary dystonia.
This pathology forms part of some neurodegenerative cerebral conditions, in which the deposit of iron in the brain is severe. It is transmitted by the genes from parents who are carriers and begins to present in early childhood - 3 ½ to 6 years-and sometimes as late as 10 to 14 years. When the patients undergo a magnetic resonance a sign called "Eye of the Tiger"is discovered, a dark area that the doctors say appears to be the face of that animal.
The specialists have the belief that Eastern European immigrants brought the gene to the South, and it was spread by marriage between persons with common ancestors who were bearers of the mutation and as well as the low migration of the people to other areas.
After Luis Feliz Urbaez, 66, tells Diario Libre the name of his wife, Mayra Mendez Urbaez, 52, he asked: did something shock you? He referred to the fact that both have the same maternal last name, but they do not know at what point their genealogical trees come together. Tests were made and it was found that each one has 50% of the genetic mutation that causes a child to have PKAN
Of the couple's 3 children, two suffer from the disease: the eldest, Richard and the youngest, Luis. At 10 years of age they began to present symptoms, with the first being a difficulty in walking with their feet on the floor. Their pediatrician attributed this to the environment of the house. They had to take them out of school in the 8th grade.
As part of the Cedimat investigations, they were given treatments and with the most recent, the father says that they have improved, "at a snail's pace."
Richard, who is now 29, wanted to be an engineer, and Luis, 25, wanted to study computers. Although the medicines have helped them, they spend their days being attended by their mother, emitting sounds and involuntary movements, with difficulty to enter their tongues, and with painful episodes. Maintaining them causes an expense for the family, which lives on the salary of the father who is a retired teacher, and who tells reporters that he has saved invoices that vary between RD$15,000 and RD$18,000. "We are fighting for the control of their lives," he says.
The two brothers are followed by the nurses that are taking the course of Genetic Counseling, which prepares them to interpret genetic exams, and explain the results to the patients in order for them to make conscientious decisions. The idea is that they will work with families in the South identified as carriers of the mutation in order to reduce the births with this condition. "If they are related, they should not get married," says Sister Juana.
The disease still does not have any cure. Those who show at the earliest age die young, and those that develop symptoms later can live as long as 40 years. At the world level, the Dominican Republic is taken as a reference, since it is the country with the most cases, even having reported Dominicans carrying the gene in Spain, the United States and Mexico. In all of the national territory they have found more than 44 persons with PKAN.
In just a few l towns of the South they have identified 34 patients, with 3 of them dying last year. But in 2010 the researchers found out that because of under - registration there were probably 70 persons with PKAN, when normal occurrence is one in 1 million persons. In a territory with 15,000 inhabitants, they say that 50% of the population are carriers of the gene.
In order to determine if a person possesses or not the mutation, there is a genetic test that is not done in the country. It costs US$45, and is carried out through Cedimat, under the auspices of the Juan Manuel Taveras Guzmán Foundation, which assumes the cost of the evaluation overseas. It is also possible to detect this with a CAT scan.
"If you have relatives that have the disease, the correct thing to do is for the children and family to carry out the test in order to know if they carry the mutation, and in this way they are able to stop the vertical transmission," explains the neurologist Pedro Roa.
If the couple already has children and they test positive, they have to work on the prevention. "We know there are things that can be done to stop the disease a little bit. For example if they are able to keep the child from losing an important amount of weight, the disease can stabilize and take longer to trigger more symptoms," says Roa.
Are there medical advances?
Doctor Morla sites genetic therapy as an advance. This experimental technique uses the genes to treat or prevent diseases. "With molecular genetics they can carry out a study on you which is called genome, and they can tell you which altered genes you have," he explains. "There are some rare diseases that are being treated like this.
The Office of the First Lady is working on a Project of Neonatal Screening, with the support of the Ministry of Public Health, in order to carry out an early biochemical diagnosis of diseases which present themselves in the neonatal period.
The Department of High Cost Diseases and Protected Medications of the Ministry supports patients that have another disease that is rare, that of Gaucher, which causes the accumulation of fatty deposits on certain organs and in the bones with RD$8 million a year. Five persons are benefiting at the present time from this program. But other interventions of prevention and public policy are needed.
In the case of the research on PKAN, they are at the stage of experimental procedures. There exist new treatments that have provided some benefits, within which Vitamin B5 appears to be that which has the greatest effects on the control of the symptoms.
In addition it is expected that in the middle of this year the genetic tests will be available in the country.
The researchers are concentrating on prolonging the life of the patients with PKAN, in order that they can take advantage of the experimental treatments. Likewise, they use Botox so that the muscles relax and they acquire mobility. Those that can, pay US $500 for each bottle.
The goal is that in 5 years a cure will exist, and in 20 years there will be no more cases of PKAN in the country.
Mariela Mejía
Mariela Mejía