Otra razón para dejar de fumar

LOS ÁNGELES. Hace diez años, Shirley Worthington llevó a Tigger al veterinario cuando empezó a sangrar el hocico del perro. Cuando le comunicaron que el animal tenía cáncer supo que era suya la culpa por su adicción al cigarrillo, un hábito que no pudo abandonar hasta después de la muerte de su mascota.
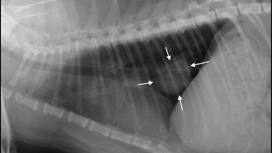
El humo de segunda mano puede causar cáncer pulmonar y nasal en los perros, linfoma maligno en los gatos y alergia y problemas respiratorios en ambos animales, según estudios en la Escuela de Medicina Veterinaria en la Universidad Tufts en Massachusetts, la Universidad Estatal de Colorado y otros establecimientos.
No se conoce el número de mascotas que muere cada año, pero los veterinarios saben, gracias a pruebas de laboratorio y visitas a sus consultorios, que la inhalación de humo causa reacciones alérgicas, inflamación y cáncer nasal y pulmonar en los animales domésticos, dijo Kerri Marshall, directora de veterinaria de Trupanion, empresa de seguros para mascotas.
Aunque Worthington está segura de la causa de muerte de su perro, se necesitan más investigaciones para que los veterinarios puedan decir con certeza que el cáncer canino fue causado por el humo de segunda mano u otro motivo, dijo la doctora Liz Rozanski, cuya investigación en Tufts se concentra en la función respiratoria en animales pequeños.
Worthington, de 52 años, residente en Brooklyn, Nueva York, dijo que fue fuerte fumadora mientras tuvo a Tigger, que murió a los 8 años en 2004. Un año después, la mujer, su madre y su hermana dejaron el cigarrillo en honor a la mascota desaparecida.
Más adelante, en 2007, la madre de Worthington murió de cáncer.
"El cigarrillo se llevó a mi madre", se lamentó. "Y a mi perro".
Las mascotas no son mencionadas en el informe de este año del director de salud pública, pero en 2006 dijo que el humo de segunda mano era perjudicial para los animales. La Fundación Legacy, la segunda mayor organización sin fines de lucro en el terreno de la salud pública, instó a los fumadores a dejar el tabaco para bien de sus mascotas, y la Sociedad Estadounidense para la Prevención de la Crueldad con los Animales exhortó a que los hogares con mascotas estuvieran libres del tabaco.
Y es todavía más importante para la salud de los gatos, que son más susceptibles que los perros al humo del tabaco.
El humo de segunda mano puede causar cáncer pulmonar y nasal en los perros, linfoma maligno en los gatos y alergia y problemas respiratorios en ambos animales, según estudios en la Escuela de Medicina Veterinaria en la Universidad Tufts en Massachusetts, la Universidad Estatal de Colorado y otros establecimientos.
No se conoce el número de mascotas que muere cada año, pero los veterinarios saben, gracias a pruebas de laboratorio y visitas a sus consultorios, que la inhalación de humo causa reacciones alérgicas, inflamación y cáncer nasal y pulmonar en los animales domésticos, dijo Kerri Marshall, directora de veterinaria de Trupanion, empresa de seguros para mascotas.
Aunque Worthington está segura de la causa de muerte de su perro, se necesitan más investigaciones para que los veterinarios puedan decir con certeza que el cáncer canino fue causado por el humo de segunda mano u otro motivo, dijo la doctora Liz Rozanski, cuya investigación en Tufts se concentra en la función respiratoria en animales pequeños.
Worthington, de 52 años, residente en Brooklyn, Nueva York, dijo que fue fuerte fumadora mientras tuvo a Tigger, que murió a los 8 años en 2004. Un año después, la mujer, su madre y su hermana dejaron el cigarrillo en honor a la mascota desaparecida.
Más adelante, en 2007, la madre de Worthington murió de cáncer.
"El cigarrillo se llevó a mi madre", se lamentó. "Y a mi perro".
Las mascotas no son mencionadas en el informe de este año del director de salud pública, pero en 2006 dijo que el humo de segunda mano era perjudicial para los animales. La Fundación Legacy, la segunda mayor organización sin fines de lucro en el terreno de la salud pública, instó a los fumadores a dejar el tabaco para bien de sus mascotas, y la Sociedad Estadounidense para la Prevención de la Crueldad con los Animales exhortó a que los hogares con mascotas estuvieran libres del tabaco.
Y es todavía más importante para la salud de los gatos, que son más susceptibles que los perros al humo del tabaco.
Diario Libre
Diario Libre