Increíble: el pene de este hombre se está convirtiendo en hueso
Es un asombroso caso médico. ¡Mira!

En Estados Unidos, un hombre está presentando una extraña condición médica. A sus 65 años se dirigió a Nueva York por un fuerte dolor en su rodilla izquierda, pero recibió un diagnóstico alarmante e inusual. Está sufriendo una osificación del pene.
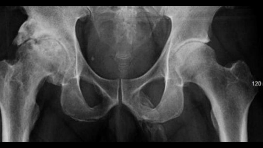
Tal cual como lo lees, el pene de este hombre está convirtiéndose en hueso. Los médicos lo diagnosticaron cuando le tomaron una radiografía en la pelvis para comprobar alguna lesión o fractura. En lugar de esto, hallaron una calcificación en el pene del hombre.

Además de un leve dolor, que el hombre atribuyó a su edad, no presentó ningún otro tipo de síntomas sobre esta condición. El hombre había acumulado sales de calcio en su tejido blando, que luego se endureció en una extensa placa a lo largo de todo su pene.
“El tratamiento de la osificación del pene depende de la extensión de la osificación corporal y de los síntomas del paciente. Las personas con un dolor agudo molesto o dolor crónico leve pueden tratarse con analgésicos orales, agentes tópicos, inyecciones intralesionales, estiramientos mecánicos o dispositivos de vacío y terapia de ondas de choque extracorpóreas. Los casos graves de dolor crónico o disfunción eréctil generalmente se manejan quirúrgicamente”, explicó el doctor Georges El Hasbani de la Universidad Americana de Beirut.
