Enfermedad del raquitismo vuelve a Gran Bretaña
Los niños con piel oscura son especialmente susceptibles, ya que necesitan una dosis más alta de sol

LONDRES. - El raquitismo, la enfermedad infantil que causó una epidemia de piernas torcidas y curvatura en la espina dorsal durante la época victoriana, ha vuelto a Gran Bretaña en el siglo XXI.
El raquitismo es provocado por una severa carencia de vitamina D, que ayuda al organismo a absorber el calcio. Al raquitismo se le consideró históricamente una enfermedad de la pobreza que afectaba a los niños que trabajaban en las fábricas durante la Revolución Industrial, y algunos especialistas creen que afectó a personajes literarios como Tiny Tim de la novela de Charles Dickens' "A Christmas Carol".
El mes pasado, la directora de sanidad de Gran Bretaña, la doctora Sally Davies, dijo que la vuelta del raquitismo es "aterrador". Propuso que el país distribuya vitaminas gratuitas a todos los niños menores de 5 años y que pida al organismo supervisor independiente de salud que estudie si la campaña merecería la pena.
La mayoría de la gente obtiene la vitamina D por el sol, el aceite de pescado, los huevos o los productos lácteos. El raquitismo casi desapareció de Gran Bretaña en la década de 1950, cuando el país adoptó programas masivos para dar aceite de hígado bacalao a los niños. No obstante, en los últimos 15 años, el número de casos registrados de raquitismo en niños hospitalizados se cuadruplicó - de 183 casos en 1995 a 762 en el 2011.
Los especialistas dicen que el número exacto de afectados seguramente es mayor ya que no existe un programa oficial de vigilancia y no se sabe si la dolencia llegó a su punto más alto.
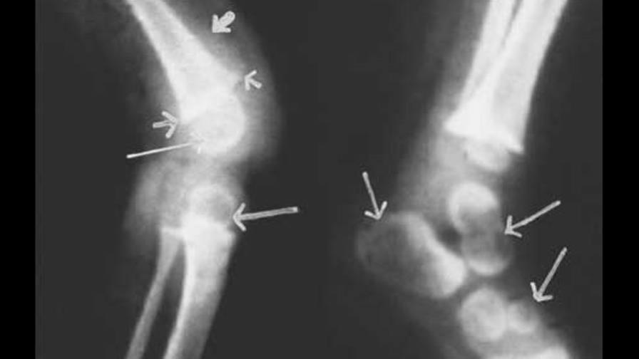
"Es muy sorprendente ver esto", dijo el doctor Mitch Blair, del Colegio Real de Pediatras y Salud Infantil. "Los niños llegan con piernas arqueadas, muñecas hinchadas y en ocasiones costillas hinchadas", indicó. "Esto no es algo que deberíamos ver porque es completamente prevenible". Agregó que ese estado es reversible en cuanto los niños comienzan a recibir suficiente vitamina D, generalmente en tabletas o inyecciones.
Blair dijo que varias razones explican el aumento del raquitismo, incluyendo los cambios en hábitos culturales -como que los niños pasen más tiempo jugando dentro de casa, el uso de cremas contra las quemaduras del sol y creencias religiosas que llevan a cubrir la piel. Los niños con piel oscura son especialmente susceptibles, ya que necesitan una dosis más alta de sol que los de piel más clara. Al contrario que otros países como Canadá, Estados Unidos y Australia, Gran Bretaña no fortifica alimentos como la leche o la harina con vitamina D.
El raquitismo es provocado por una severa carencia de vitamina D, que ayuda al organismo a absorber el calcio. Al raquitismo se le consideró históricamente una enfermedad de la pobreza que afectaba a los niños que trabajaban en las fábricas durante la Revolución Industrial, y algunos especialistas creen que afectó a personajes literarios como Tiny Tim de la novela de Charles Dickens' "A Christmas Carol".
El mes pasado, la directora de sanidad de Gran Bretaña, la doctora Sally Davies, dijo que la vuelta del raquitismo es "aterrador". Propuso que el país distribuya vitaminas gratuitas a todos los niños menores de 5 años y que pida al organismo supervisor independiente de salud que estudie si la campaña merecería la pena.
La mayoría de la gente obtiene la vitamina D por el sol, el aceite de pescado, los huevos o los productos lácteos. El raquitismo casi desapareció de Gran Bretaña en la década de 1950, cuando el país adoptó programas masivos para dar aceite de hígado bacalao a los niños. No obstante, en los últimos 15 años, el número de casos registrados de raquitismo en niños hospitalizados se cuadruplicó - de 183 casos en 1995 a 762 en el 2011.
Los especialistas dicen que el número exacto de afectados seguramente es mayor ya que no existe un programa oficial de vigilancia y no se sabe si la dolencia llegó a su punto más alto.
"Es muy sorprendente ver esto", dijo el doctor Mitch Blair, del Colegio Real de Pediatras y Salud Infantil. "Los niños llegan con piernas arqueadas, muñecas hinchadas y en ocasiones costillas hinchadas", indicó. "Esto no es algo que deberíamos ver porque es completamente prevenible". Agregó que ese estado es reversible en cuanto los niños comienzan a recibir suficiente vitamina D, generalmente en tabletas o inyecciones.
Blair dijo que varias razones explican el aumento del raquitismo, incluyendo los cambios en hábitos culturales -como que los niños pasen más tiempo jugando dentro de casa, el uso de cremas contra las quemaduras del sol y creencias religiosas que llevan a cubrir la piel. Los niños con piel oscura son especialmente susceptibles, ya que necesitan una dosis más alta de sol que los de piel más clara. Al contrario que otros países como Canadá, Estados Unidos y Australia, Gran Bretaña no fortifica alimentos como la leche o la harina con vitamina D.
Diario Libre
Diario Libre