Fracturas, dislocaciones, torceduras y forzaduras (I)

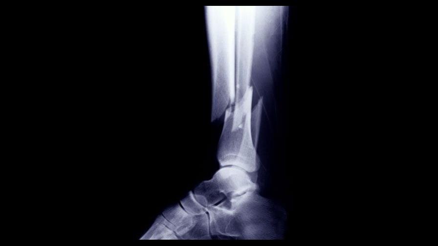
Una fractura es la rotura de uno o más huesos
Clases de fracturas
Simple: cuando un hueso se lesiona en un solo lugar.
Compuesta: uno o dos huesos de la misma articulación se lesionan en varias partes.
Tipos de fracturas:
Abiertas: son cuando los extremos del hueso roto salen al exterior, destruyendo la piel y/o los músculos, presentándonos una herida.
Cerradas: son cuando se rompe un hueso sin salir al exterior.
Síntomas
Dolor
Sensibilidad
Crepitación
Falta de movimiento
Deformidad anatómica
Hematomas
Subtipos de fracturas
Tallo verde: en este caso el hueso no se rompe, pero se deforma (esto ocurre en los infantes)
Por impacto: el hueso se incrusta dentro de sí mismo, acortando su tamaño.
Conminuta: es cuando parte del hueso es destruido por un gran peso que pasa sobre él.
Fisura: cuando el hueso se agrieta, pero no se rompe.
Normas para la atención de fracturas:
No mover a la víctima, a no ser que sus vidas corran peligro o, si fuera necesaria.
No intentar llevar el hueso a su lugar.
Entablillar antes de cualquier traslado.
Nunca trate de averiguar si hay una fractura haciendo que la víctima camine o articula, es decir, que el hueso roto no sea parte de la articulación.
La pierna fracturada puede ser inmovilizada con la pierna sana.
Normas para la atención de fracturas abiertas
No haga presión directa, peso si debe cubrir la herida con un apósito.
No lave la herida.
La elevación solo podrá hacerse si la fractura no se relaciona al hueso que se articula, es decir, que el hueso roto no sea parte de la articulación.
No extraiga o introduzca fragmentos del hueso.
Haga prevención de Shock (precaución en elevación de piernas).
Trasladar a la víctima en un vehículo adecuado. No doble la víctima para introducirla en el vehículo.
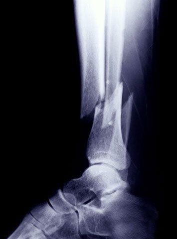
Clases de fracturas
Simple: cuando un hueso se lesiona en un solo lugar.
Compuesta: uno o dos huesos de la misma articulación se lesionan en varias partes.
Tipos de fracturas:
Abiertas: son cuando los extremos del hueso roto salen al exterior, destruyendo la piel y/o los músculos, presentándonos una herida.
Cerradas: son cuando se rompe un hueso sin salir al exterior.
Síntomas
Dolor
Sensibilidad
Crepitación
Falta de movimiento
Deformidad anatómica
Hematomas
Subtipos de fracturas
Tallo verde: en este caso el hueso no se rompe, pero se deforma (esto ocurre en los infantes)
Por impacto: el hueso se incrusta dentro de sí mismo, acortando su tamaño.
Conminuta: es cuando parte del hueso es destruido por un gran peso que pasa sobre él.
Fisura: cuando el hueso se agrieta, pero no se rompe.
Normas para la atención de fracturas:
No mover a la víctima, a no ser que sus vidas corran peligro o, si fuera necesaria.
No intentar llevar el hueso a su lugar.
Entablillar antes de cualquier traslado.
Nunca trate de averiguar si hay una fractura haciendo que la víctima camine o articula, es decir, que el hueso roto no sea parte de la articulación.
La pierna fracturada puede ser inmovilizada con la pierna sana.
Normas para la atención de fracturas abiertas
No haga presión directa, peso si debe cubrir la herida con un apósito.
No lave la herida.
La elevación solo podrá hacerse si la fractura no se relaciona al hueso que se articula, es decir, que el hueso roto no sea parte de la articulación.
No extraiga o introduzca fragmentos del hueso.
Haga prevención de Shock (precaución en elevación de piernas).
Trasladar a la víctima en un vehículo adecuado. No doble la víctima para introducirla en el vehículo.
Diario Libre
Diario Libre