Raquitismo: Una enfermedad que convierte al esqueleto en cristal

Santiago. Muchos les llaman niños de cristal, son infantes con una debilidad tan extrema en el esqueleto y los músculos que se quiebran al más leve toque, hasta con un tierno abrazo. Son herederos de una enfermedad denominada raquitismo.
La doctora Carmen Castro, quien trabaja como fisiatra en el Patronato Cibao de Rehabilitación, explica que éste es un trastorno genético, producido por un defecto nutricional, caracterizado por deformidades esqueléticas. Es causado por un descenso de la mineralización de los huesos y cartílagos debido a niveles bajos de calcio y fósforo en la sangre.
"Cuando el cuerpo carece de vitamina D es incapaz de regular adecuadamente los niveles de calcio y fosfato. Si los niveles sanguíneos de esos minerales disminuyen, las otras hormonas corporales pueden estimular la liberación de calcio y fosfato desde los huesos al torrente sanguíneo para elevar los niveles", señala.
Se observa por lo general en niños de un año, pero según la entrevistada puede producirse también en adultos. Ocurre más probablemente durante períodos de crecimiento rápido donde el cuerpo demanda niveles altos de calcio y fosfato. Una carencia dietética de calcio y fósforo puede también jugar un papel importante en las causas nutricionales del raquitismo.
Como producto de una carencia dietética de estos minerales, esta enfermedad es poco frecuente en los países desarrollados porque el calcio y el fósforo están presentes en la leche y vegetales verdes.
El raquitismo hereditario se presenta cuando los riñones son incapaces de retener el fosfato. El raquitismo puede ser causado también por trastornos renales que involucran acidosis tubular renal.
Ocasionalmente, el raquitismo puede presentarse en niños que tienen trastornos hepáticos, no absorben las grasas y la vitamina D adecuadamente o cuando no pueden convertir la vitamina D a su forma activa.
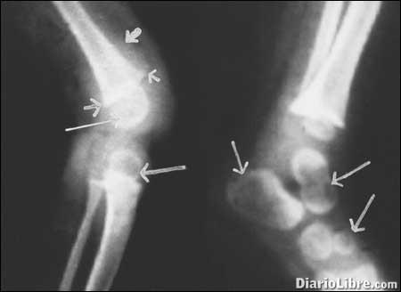
Entre los síntomas menciona, el dolor o sensibilidad en los huesos, las deformidades esqueléticas, piernas arqueadas, proyección del esternón hacia adelante (pecho de paloma), protuberancias en la caja torácica (rosario raquítico), cráneo asimétrico o de forma extraña, deformidades de la columna (curvas de la columna anormales, incluyendo escoliosis o cifosis), deformidades pélvicas, aumento de la tendencia a las fracturas óseas, deformidades dentales, retraso en la formación de los dientes, defectos en la estructura de los dientes, perforaciones en el esmalte, aumento en la incidencia de caries en los dientes (caries dentales), debilidad progresiva, disminución del tono muscular (pérdida de la fuerza muscular), calambres musculares, crecimiento deficiente, baja estatura: adultos menos de 1,52 m (5 pies) de alto
El diagnóstico es clínico
Se sustenta con pruebas de laboratorios, donde se miden los niveles de calcio y fósforo. El objetivo del tratamiento es aliviar los síntomas y corregir la causa de esta afección. Se debe tratar la causa subyacente para prevenir la recurrencia.
Con el reemplazo de la deficiencia de calcio, fósforo o vitamina D, la mayoría de los síntomas desaparecen. Las fuentes dietéticas de vitamina D incluyen: pescado, hígado y leche procesada. Se recomienda la exposición a cantidades moderadas de luz solar.
El tratamiento del raquitismo causado por anomalías metabólicas puede requerir una prescripción especial para vitamina D, estimular la actividad física, órtesis correctoras cuando son necesarias.
La doctora Carmen Castro, quien trabaja como fisiatra en el Patronato Cibao de Rehabilitación, explica que éste es un trastorno genético, producido por un defecto nutricional, caracterizado por deformidades esqueléticas. Es causado por un descenso de la mineralización de los huesos y cartílagos debido a niveles bajos de calcio y fósforo en la sangre.
"Cuando el cuerpo carece de vitamina D es incapaz de regular adecuadamente los niveles de calcio y fosfato. Si los niveles sanguíneos de esos minerales disminuyen, las otras hormonas corporales pueden estimular la liberación de calcio y fosfato desde los huesos al torrente sanguíneo para elevar los niveles", señala.
Se observa por lo general en niños de un año, pero según la entrevistada puede producirse también en adultos. Ocurre más probablemente durante períodos de crecimiento rápido donde el cuerpo demanda niveles altos de calcio y fosfato. Una carencia dietética de calcio y fósforo puede también jugar un papel importante en las causas nutricionales del raquitismo.
Como producto de una carencia dietética de estos minerales, esta enfermedad es poco frecuente en los países desarrollados porque el calcio y el fósforo están presentes en la leche y vegetales verdes.
El raquitismo hereditario se presenta cuando los riñones son incapaces de retener el fosfato. El raquitismo puede ser causado también por trastornos renales que involucran acidosis tubular renal.
Ocasionalmente, el raquitismo puede presentarse en niños que tienen trastornos hepáticos, no absorben las grasas y la vitamina D adecuadamente o cuando no pueden convertir la vitamina D a su forma activa.
Entre los síntomas menciona, el dolor o sensibilidad en los huesos, las deformidades esqueléticas, piernas arqueadas, proyección del esternón hacia adelante (pecho de paloma), protuberancias en la caja torácica (rosario raquítico), cráneo asimétrico o de forma extraña, deformidades de la columna (curvas de la columna anormales, incluyendo escoliosis o cifosis), deformidades pélvicas, aumento de la tendencia a las fracturas óseas, deformidades dentales, retraso en la formación de los dientes, defectos en la estructura de los dientes, perforaciones en el esmalte, aumento en la incidencia de caries en los dientes (caries dentales), debilidad progresiva, disminución del tono muscular (pérdida de la fuerza muscular), calambres musculares, crecimiento deficiente, baja estatura: adultos menos de 1,52 m (5 pies) de alto
El diagnóstico es clínico
Se sustenta con pruebas de laboratorios, donde se miden los niveles de calcio y fósforo. El objetivo del tratamiento es aliviar los síntomas y corregir la causa de esta afección. Se debe tratar la causa subyacente para prevenir la recurrencia.
Con el reemplazo de la deficiencia de calcio, fósforo o vitamina D, la mayoría de los síntomas desaparecen. Las fuentes dietéticas de vitamina D incluyen: pescado, hígado y leche procesada. Se recomienda la exposición a cantidades moderadas de luz solar.
El tratamiento del raquitismo causado por anomalías metabólicas puede requerir una prescripción especial para vitamina D, estimular la actividad física, órtesis correctoras cuando son necesarias.
Diario Libre
Diario Libre