Trasplantes de médula ayudan con anemia falciforme

CHICAGO.- Un pequeño pero prometedor estudio del gobierno concluyó que los trasplantes de médula ósea pueden revertir la anemia falciforme en los adultos, como ocurre en los niños.
Los investigadores y otros dijeron que los resultados muestran que la edad no debe ser un impedimento y que la técnica podría cambiar la práctica para algunos pacientes adultos cuando el tratamiento estándar falla.
La terapia funcionó en 26 de 30 adultos estudiados, y un año después, 15 de ellos pudieron dejar de tomar medicamentos para evitar el rechazo.
Los médicos evitaban ese tipo de trasplantes en adultos debido a preocupaciones de que la enfermedad ya los haya debilitado demasiado.
El estudio se realizó en un hospital de investigaciones de los Institutos Nacionales de Salud y los resultados se publicaron el martes en el Journal of the American Medical Association (JAMA), la publicación oficial de la Asociación de Médicos de Estados Unidos.
"Estamos muy contentos", dijo el doctor John Tisdale, principal autor del estudio e investigador de los Institutos Nacionales de Salud.
"Esto es lo que esperábamos". La técnica es una versión modificada de lo que los médicos han usado desde hace tiempo en niños.
Los donantes son hermanas y hermanos de los pacientes cuyas células son compatibles con el paciente. Tisdale dijo que los médicos evitaban practicar trasplantes estándar en adultos con anemia falciforme severa porque el tratamiento es muy tóxico.
Los niños pueden tolerarlo porque la enfermedad prácticamente no ha afectado demasiado sus cuerpos, según el médico. La enfermedad es debilitante y muchas veces acorta la expectativa de vida de los pacientes; muchos de ellos fallecen en promedio a los 40 años, indicó Tisdale. Esa fue una razón para que los investigadores intentaran los trasplantes en adultos, con la esperanza de que la técnica pueda extender su vida.
El tratamiento implica usar quimioterapia y radiación para destruir la médula ósea antes de reemplazarla con la médula sana del donador.
En los niños es eliminada por completo. En el estudio en adultos, los investigadores sólo destruyeron parcialmente la médula ósea y se necesitó menos del donador. Estos glóbulos rojos sanos de la médula superan a los depantrocitos y eventualmente los reemplazan.
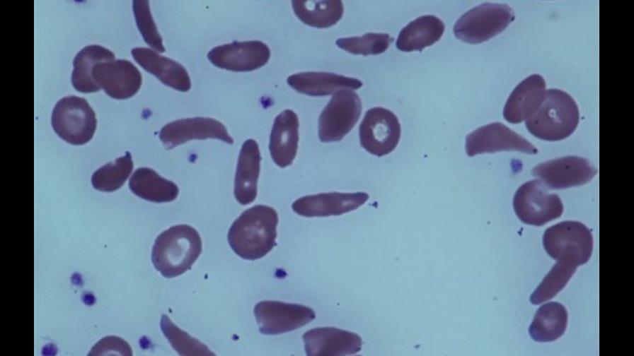
La anemia falciforme es una condición genética que daña la hemoglobina que lleva el oxígeno en los glóbulos rojos, haciendo que se adopten formas anormales de hoz que pueden bloquear el paso de la sangre a través de las venas. Puede causar anemia, dolor y daño en órganos. La enfermedad afecta a unos 100.000 estadounidenses, en su mayoría de raza negra, y a millones en todo el mundo.
Diario Libre
Diario Libre