Una "nariz electrónica" permitirá detectar tuberculosis y cáncer en aliento
"La 'nariz electrónica' proporcionará un método no invasivo y fácil de utilizar para diagnosticar la tuberculosis"

TORONTO,Canadá.-- Investigadores indios confían en Que un aparato similar a los alcoholímetros utilizados por la policía servirá en pocos años para detectar de forma inmediata la
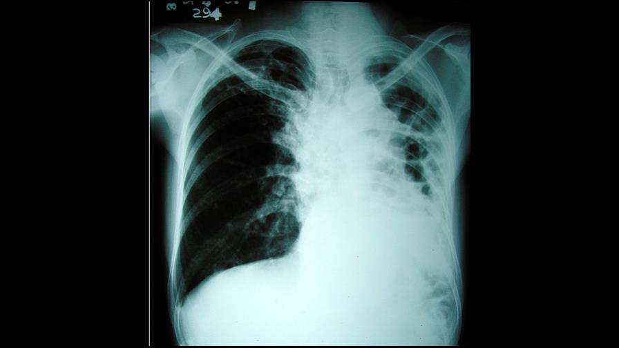
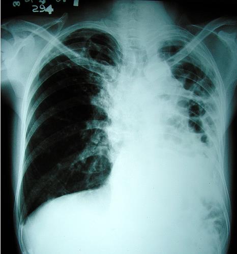
tuberculosis en el aliento de pacientes e incluso el cáncer de pulmón.
El aparato, denominado coloquialmente "nariz electrónica", está siendo desarrollado por un grupo de investigadores indios que recibirán hoy en Nueva Delhi (India) casi un millón de dólares de
Grand Challenges Canada (GCC) y la Fundación Bill y Melissa Gates para desarrollar un prototipo que pueda ser producido posteriormente en masa.
"La 'nariz electrónica' proporcionará un método no invasivo y fácil de utilizar para diagnosticar la tuberculosis sin necesidad de necesitar múltiples visitas a las clínicas. Y será un método
asequible para los pacientes de países en los que la tuberculosis es endémica", declaró a Efe el investigador indio Ranjan Nanda.
Pero el aparato, que podría estar listo para su producción en masa en octubre de 2013, también sería útil para detectar otras enfermedades pulmonares como el cáncer de pulmón.
"Lo que es más importante, una vez que se ha desarrollado la 'nariz electrónica' para detectar la tuberculosis pulmonar: con una pequeña modificación en el sensor también podría ser utilizado para
detectar otras enfermedades pulmonares como el cáncer de pulmón" afirmó el doctor Nanda, el principal investigador del proyecto.
El presidente de Grand Challenges Canadá, el doctor Peter Singer, señaló a Efe que incluso si el aparato es utilizado sólo para la detección de tuberculosis, su impacto en los países en vías de
desarrollo será enorme.
"Es una idea genial de muy bajo costo", afirmó Singer.
"La tuberculosis es un gigantesco problema que al año se cobra la vida a 1,7 millones de personas en todo el mundo, principalmente en países en desarrollo. Es la segunda enfermedad mortal infecciosa más grave después del sida/vih", añadió el académico canadiense.
La tuberculosis ha sido prácticamente erradicada en los países desarrollados, pero está presente en el África subsahariana, partes de Asia y Latinoamérica.
La "nariz electrónica" multiplicaría la detección temprana de la enfermedad y aceleraría su diagnosis y el inicio del tratamiento, lo que podría salvar unas 400.000 vidas al año, según los datos de GCC,
una institución financiada por el Gobierno canadiense, y otras
organizaciones, para mejorar la sanidad en los países en desarrollo.
El aparato que desarrollarán el doctor Nanda y su equipo está basado en la existencia de un grupo determinado de moléculas en el aliento de las personas infectadas con tuberculosis, una enfermedad
causada por varios tipos de micobacterias que se transmite por vía aérea y a través de la saliva.
"El aliento de la persona infectada con tuberculosis tiene una serie de moléculas. Cuando una persona exhala en el aparato, las moléculas, los biomarcadores específicos a la tuberculosis,
interactúan con el sensor y crean una señal electrónica que es interpretada por un algoritmo de reconocimiento", explicó el doctor Nanda.
El equipo indio del Centro para Ingeniería Genética y Biotecnología de Nueva Delhi, dirigido por los doctores Nanda y Virander Chauhan, han sido los primeros en identificar esas
moléculas en el aliento características de la tuberculosis pulmonar, lo que permitirá el desarrollo de la "nariz electrónica".
"En estos momentos estamos en el proceso de patentar la identidad de las moléculas", reconoció el doctor Nanda.
tuberculosis.
Con los 950.000 dólares que proporcionarán GCC y la fundación Gates, el equipo validará los biomarcadores con muestras tomadas de centros médicos de toda la India, lo que se espera esté terminado en diciembre de 2012, y desarrollará el primer prototipo en octubre de
2013.
Singer destacó que ejemplos como el del doctor Nanda demuestran "la existencia de muchos innovadores con ideas atrevidas en los países en vías de desarrollo. Todo lo que se necesita es
encontrarlos".
La idea del equipo de Nanda no es nueva. Hace pocos meses, la multinacional alemana Siemmens anunció que ha desarrollado un aparato similar que sirve para detectar moléculas de óxido nítrico
en el aliento, biomarcadores que advierten de un inminente ataque de asma.
Por ello, el doctor Nanda se muestra optimista sobre su investigación.
"Se ha probado con éxito en otras enfermedades pulmonares y tenemos bastantes esperanzas de que la tuberculosis puede identificarse con marcadores en el aliento", afirmó.
"Y si se comprueba que funciona con la tuberculosis, definitivamente se podrá aplicar para el cáncer de pulmón" añadió.
Diario Libre
Diario Libre